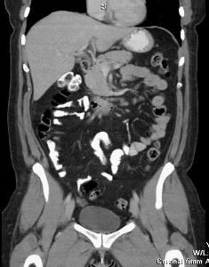
Show Lines            Show Axial